Finančná pomoc.
Cieľ výzvy
Splatiť dlhy ktoré mi spôsobila zlá sociálna situácia a môj zdravotný stav.
Príbeh
Finančná pomoc.
Prosím o finančnú pomoc, vopred ďakujem
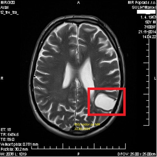
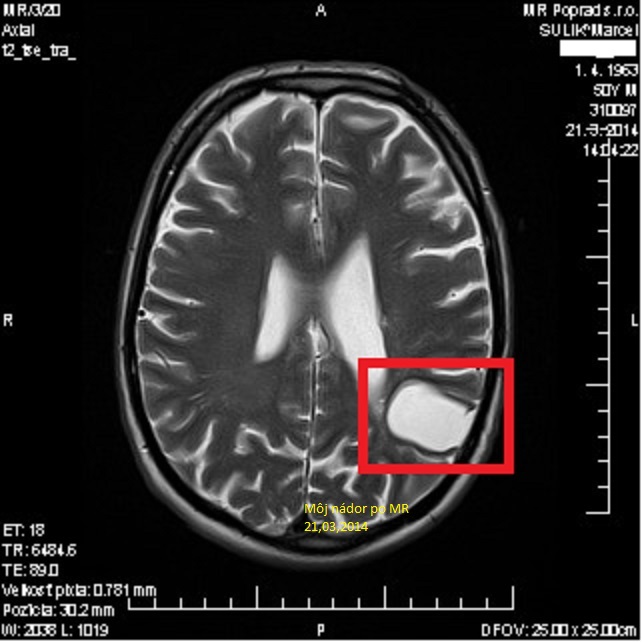
Prosím o finančnú pomoc na splatenie dlhov ktoré mi spôsobila zlá sociálna situácia. Som onkologický pacient, nemôžem pracovať, čo vyplýva s mojich lekárskych správ viď prílohy. Moje posledné vyšetrenie magnetickou rezonanciou zo dňa 21.03.2014 jasne zobrazuje zbytkovy nález nádoru na mozgu o veľkosti 2,4cm x2,6cm x3,6cm viď ďalšie fotografie v tejto výzve. No napriek tomuto všetkému mi Soc. poisť. prv znížila invalidný dôchodok na polovičný v sume 125€ z ktorého som mal vyžiť. Takto sa to naše krásne Slovensko stará o onkologických pacientov. Mám 51 rokov, no také niečo sa môže stať iba v tomto štáte, kde sa dosadzujú ľudia na posty, kde sa rozhoduje o prežití človeka s onkologickým ochorením. Bývam sám v 160ročnom dome. Dvakrát som sa odvolal na Krajský súd v Prešove kde som aj uspel no nebolo mi to nič platne, síce Soc. poisť. mi po viac ako roku a pol vrátila plný invalidný dôchodok no už v úplne inej výške, ako som poberal predtým. Spomínaný dlh som si spôsobil sám lebo som nevedel vyžiť zo 125€ mesačne. Pre upresnenie teraz poberám invalidný dôchodok vo výške 256€ no z neho musím splacať dlh vo výške 130€ mesačne, platím výživné na syna 50€ , 60€ inkaso- elektrina, plyn, vodné a stočne. a zase som na dne, neostáva mi ani na stravu lieky, a bežne poptreby. Viem že nie som sám s takýmto osudom, prosím so slzami v očiach dobrých ľudí pomôžte mi PROSÍM. Neviem čo viac o sebe napísať. Vopred ďakujem všetkým dobrým ľudom ktorý mi pomôžu prežiť.
Asking for financial assistance, Thank you in advance
I am asking, for financial assistance to pay off my debts which caused me a bad social situation. I am a cancer patient who is not able to work, as can be seen with my medical reports, see attached file. My latest MRI scan dated 21.3.2014 clearly shows the residual finding of a brain tumour the size of 2.4 cm x2,6cm x3, 6 cm. See more photos in this call. But despite all this my social insurance. First they have reduced disability pension of half the amount of € 125 which I had to make ends meet. This, it is our beautiful Slovakia and how they take care of patients with cancer . I am 51 years male , but such a thing can happen only in this country, where people appoint an at positions where decisions about the survival of a person with cancer. I live alone in the housewhich is 160 years old. Twice I appealed to the Regional Court in Prešov where I also succeeded but it was no use to me, although social insurance gave me more than a year and a half back of my full disability pension but no longer in a completely different amount than I was receiving before. I caused the debt myself because I could not live of € 125 a month. For clarification now receives disability pension of € 256 but it have to repay a debt of € 130 per month, to pay parental fees of € 50 on my son, € 60 debit-electricity, gas, water and sewege. and again I'm down, I can’t not remain on the diet or medication, and commonly things for living . I know I'm not alone with this destiny, I’m begging tearfully you good people help me please. I do not know what more to write about myself. Thank you in advance to all the good people who will help me survive.
Debts caused me poor life and my health
Asking for financial assistance, Thank you in advance
I am asking, for financial assistance to pay off my debts which caused me a bad social situation. I am a cancer patient who is not able to work, as can be seen with my medical reports, see attached file. My latest MRI scan dated 21.3.2014 clearly shows the residual finding of a brain tumour the size of 2.4 cm x2,6cm x3, 6 cm. See more photos in this call. But despite all this my social insurance. First they have reduced disability pension of half the amount of € 125 which I had to make ends meet. This, it is our beautiful Slovakia and how they take care of patients with cancer . I am 51 years male , but such a thing can happen only in this country, where people appoint an at positions where decisions about the survival of a person with cancer. I live alone in the housewhich is 160 years old. Twice I appealed to the Regional Court in Prešov where I also succeeded but it was no use to me, although social insurance gave me more than a year and a half back of my full disability pension but no longer in a completely different amount than I was receiving before. I caused the debt myself because I could not live of € 125 a month. For clarification now receives disability pension of € 256 but it have to repay a debt of € 130 per month, to pay parental fees of € 50 on my son, € 60 debit-electricity, gas, water and sewege. and again I'm down, I can’t not remain on the diet or medication, and commonly things for living . I know I'm not alone with this destiny, I’m begging tearfully you good people help me please. I do not know what more to write about myself. Thank you in advance to all the good people who will help me survive.
Debts caused me poor life and my health