Menu

Krok od slepoty

Trvanie výzvy: 8. augusta 2019 - 8. augusta 2020

Cieľ výzvy

Vyzbieranie finančných prostriedkov na liečbu očí, zakúpenie špeciálnych kvapiek, ktoré by mi mohli pomôcť. Ďalej budú finančné prostriedky použité na operačné úkony, konzultácie s lekármi, lekárske vyšetrenia na súkromných klinikách na základe malých skúseností s Lyellovým syndrómom, na cesty za lekármi a taktiež lieky a ďalšie očné kvapky, ktoré sú potrebné pri liečbe.

Autor výzvy

Príbeh

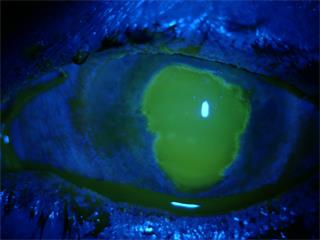
Krok od slepoty

Obraciam sa na vás o finančnú pomoc o znovunavrátanie zraku pomocou finančne náročnej liečby. Naročná liečba spočíva v očných kvapkách ktoré mi môžu pomôcť k uzdraveniu rohovky a znovu vidieť krásu sveta. Kvapky nie sú dostupné na slovenskom trhu, cena sa pohybuje v desaťtisícoch eur na 2 mesiace. Toto je správa od lekára:"Pacientka s Lyellovým syndrómom po podaní antibiotiká 15.10.2018. Pacientka bola u nás opakovane hospitalizovaná pre nehojace sa defekty rohoviek. Opakovane aplikované a menené kontaktné šošovky, opakovane (3x) realizovaná aplikácia amniových membrán na oboch očiach, bola využitá aj intenzívna lokálna liečba na podporu hojenia a celková imunomodulačná a imunosupresívna liečba, realizovaný cross-linking na ľavom oku. Napriek už vyššie spomenutej liečbe a chirurgických zákrokoch pretrvávajú nehojace sa defekty rohoviek. Stav diagnostikujeme ako neurotrofickú keratitídu s keratouveitídou s rizikom zhoršenia až straty videnia na oboch očiach."

Ahojte, 

hľadám slová hlboko vo vnútri seba a hlavne silu ako opísať môj príbeh bez toho aby som nevyronila čo i len slzu. Môj životný príbeh sa niesol v začiatkoch kde som doštudovala 2. stupeň vysokoškolského vzdelania popri ktorej som vždy aktívne pracovala deň-noc a snažila sa žiť plnohodnotný život ako každý z nás. Postupne som sa adaptovala na prostredie dospelého života kde som súčasne mala dve práce, ale cez to všetko som brala prácu ako požehnanie a zdravie nikdy nebrala na ľahkú váhu. Ale čo človek môže zamýšlať do budúcnosti keď život nám pripraví karty za nás ? V polke októbra minulého roka to všetko začalo a pokračuje aj dnes 9 mesiacov každodennej strásti. Choroba, ktorá sa javila zo začiatku ako bežná chrípka sa nakoniec ukázala byť ako veľmi vzácny syndróm (Lyellov Syndróm), ktorého štatisticky postihne 1 z milióna. A čo to celé odštartovalo ? Jedno vyšetrenie pri obvodnej lekárke, jedno antibiotikum a celý môj život sa obrátil hore nohami. Môj stav sa začal rapídne zhoršovať, prijali ma do nemocnice a po ďalších niekoľkodňových vyšetreniach mi zistili práve spomínaný syndróm, ktorý sa taktiež nazýva aj Toxická epidermálna nekrolýza. Je to silná alergická reakcia na lieky, ktorá je život ohrozujúca s vysokým percentom úmrtnosti. Postupne mi začala odumierať a odpadávať vrchná vrstva kože po celom tele a moje telo bolo zasiahnuté a datované ako popálené na 98%. Lekári my dávali 1% šancu na prežitie. Taktiež tento syndróm postihuje aj ďalšie časti tela, najviac však sliznice. Nedokázala som prehltnúť ani slinu, moje oči boli ako v ohni. Nepriala by som toto zažiť ani svojmu najväčšiemu nepriateľovi. Ako som sa pomaly zotavovala po niekoľkých týždňoch ma previezli do nemocnice v blízkosti môjho bydliska aby som sa mohla naplno zotaviť. Učila som sa nanovo chodiť, pretože moje svalstvo po tak dlhom čase bolo ochabnuté a schudla som viac ako 20 kíl. Ale keď som dúfala, že som na konci svojho trápenia tak som sa mýlila a tie najväčšie problémy ma ešte len čakali. Od množstva odborníkov, lekárov, špecialistov bojujem až dodnes s mojou najväčšou prekážkou ktorou sú práve oči. V prvých dňoch sa kládol dôraz na záchranu môjho života za akúkoľvek cenu, čiže “drobnosti” ako moje oči boli druhoradé. A na túto skutočnosť bohužiaľ doplácam až do dnes a stále nevidieť na koniec tohto utrpenia. Ale cez to všetko som vďačná, že som obklopená tak skvelou rodinou, ktorá ma podporuje vo všetkom a bez nich by som tu už dnes pravdepodobne nebola. Stále sa snažím tešiť zo života a ďakujem Bohu, že mi dáva stále šancu na lepšie zajtrajšky. Potrebujem už niekoľko mesiacov 24 hodinovú starostlivosť, pretože nedokážem fungovať samostatne a všetko stojí nemalé finančné prostriedky, keďže si všetky úkony, cesty za lekármi, odborníkmi a konzultácie musím hradiť sama. A ako keby toho nebolo málo lieky,konkrétne kvapky, ktoré sú možno mojou poslednou nádejou aby som videla konečne krásy nášho sveta, kde 2 mesačná liečba formou kvapiek stojí približne 46 000 EUR, poisťovňa mi neschválila v plnej výške a preto sa obraciam s prosbou na vás. Pomôžte mi prekonať túto chorobu a dopomôcť mi tak k zmysluplnejšiemu životu a nie len ku prežívaniu. Finančnú zbierku nepotrebujem len na očné kvapky, ktoré som zmieňovala vyššie, ale taktiež aj na lekárske vyšetrenia, ktoré sú mnohokrát aj zo zahraničia, množstvo konzultácií s odborníkmi a taktiež nespočetné množstvo ciest, čo stojí nemalé finančné prostriedky. Za každú pomoc budem nesmierne vďačná.

Ďakujem 

Ďalšie informácie

Nahlásiť

Stránka obsahuje nepravdivé, urážajúce alebo neetické informácie

Ste si istý, že chcete vymazať aktualizáciu?