Menu

TUMOR V HLAVE - Mamka , rodina Ťa potrebuje . Po operácii mozgového tumoru potrebujeme pomoc .

Trvanie výzvy: 10. septembra 2013 - 10. septembra 2014

Cieľ výzvy

Pomôcť rodine vo finančnej núdzi , doba rekonvalescencie je 3 - 5 rokov

Autor výzvy

Príbeh

TUMOR V HLAVE - Mamka , rodina Ťa potrebuje . Po operácii mozgového tumoru potrebujeme pomoc .

Manželka , Mamka - je po ťažkej operácii tumoru v hlave , operáciu podstúpila v Prahe , nakoľko bol tumor uložený vo veľmi ťažko prístupnom a životu ohrozujúcom priestore . Napriek úspešnej operácii niekedy stráca videnie a stabilitu . Invalidný manžel po troch operáciach chrbtice je bez možnosti zamestnať sa . Rodina sa dostáva do hlbokej krízy a ich tri deti potrebujú ešte pomoc .
Dobrí ľudia , pomôžte prosím !

Pracovitá manželka a milujúca mama troch detí sa do nedávna mohla plnohodnotne starať o svoju rodinu , chodiť do práce a zarábať peniaze na chod domácnosti , nakoľko jej manžel je už šesť rokov na invalidnom dôchodku keď po úraze musel podstúpiť tri operácie chrbtice . Spolu vychovávajú tri deti .
Môj invalidný dôchodok nepostačuje a keď si manželka našla novú prácu , čo predtým vystriedala niekoľko zamestnaní a musela ich prerušiť pre zdravotné dôvody , mysleli sme si , že už bude lepšie , že sa zbavíme dlhov a pôžičiek , ale nie - osud nám neprial a život sa s nami zahráva dosť nepríjemne . Tento príbeh nie je o mne , aj keď sa ma priamo dotýka , aj keď môj život tiež nie je jednoduchý a uvedomujem si , že teraz bude ešte ťažší .
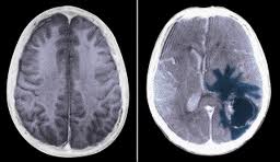
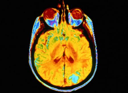
Ale vráťme sa k tomu , prečo som túto výzvu napísal , vráťme sa o niekoľko mesiacov naspäť ........ keď manželke v máji diagnostikovali tumor v oblasti mozgovej artérie a očných nervov o veľkosti skoro 4x3x1,5 cm .... nechceli sme tomu uveriť , aj keď príznaky toho sa objavili už skôr . Človek si stále nepripúšťa to najhoršie a neverí , až keď sa nezačal kolotoč vyšetrení a konzultácií s neurológmi a neurochirurgom . Bála sa manželka a bál som sa aj ja , keď nám povedali že sa ten tumor nachádza v ťažko prístupnej oblasti a klasickou operáciou by mohlo dôjsť k devastačným poškodeniam mozgu , rozhodli sme sa pre operáciu Lekselovým Gama nožom v Prahe , nakoľko Slovensko nedisponuje takouto stereotaktickou technikou . Je to menej invazívna metóda , ale náročná na liečenie a rekonvalescenciu . Celková doba liečenia po týchto zákrokoch je 2 - až - 5 rokov . V celkovom sledovaní je pacient ďalších 5 rokov takže povedať že sme vyhrali môžme až po 10 - tich rokoch .

Neviem si ani predstaviť koľko peňazí budeme potrebovať na kontroly do Košíc , do Prahy , na lieky a liečenia , na chod domácnosti , deťom do škôl a na základné ľudské potreby . Naše staré 17 ročné auto už neposlúži a cestovanie autobusmi je pre manželku náročné . Preto nedokážem vyčísliť sumu už teraz .

Moja rodina sa postupne ocitá na pokraji chudoby a ekonomickej krízy , preto týmto spôsobom chcem poprosiť dobrých ľudí o pomoc . Pevne verím , že dobrí ľudia žijú medzi nami .
Ďakujem .
PS : prispieť môžete aj priamo na účet : 1112551100 / 8410

Ladislav Boško
Vinné

E : mail lacobosko@gmail.com

Ďalšie informácie

Nahlásiť

Stránka obsahuje nepravdivé, urážajúce alebo neetické informácie

Ste si istý, že chcete vymazať aktualizáciu?